전체틀니(총의치) 치료증례로 살펴보는 틀니제작의 전체적인 과정
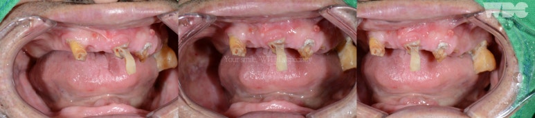
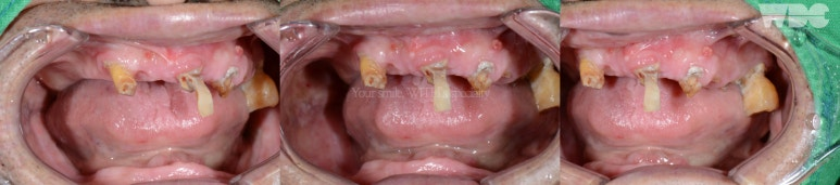
전체적으로 이가 많이 상해서 식사를 할수 없는 상태로 내원해주셨습니다. 위에는 몇개의 치아가 남아있었고, 아래에는 이가 하나도 없으신 상태였는데 틀니도 없이 잇몸으로만 지내오시다가, 자녀분께서 틀니제작을 위해 모시고 내원해주셨습니다.


위에 몇개의 치아가 있지만, 모두 심한 충치가 있어 치아머리가 부러지고, 그나마 온전하게 남아있는 하나의 치아도 치조골(잇몸뼈)의 염증이 심해서 많이 흔들려서 그대로 살려서 사용하는게 의미가 없는 상태였습니다.


씹는면에서 보았을 때도, 한눈에 봐도 살릴수 있는 치아가 없었습니다. 너무 늦기 전에 치과에 와 주셨다면 한두개의 치아라도 더 살릴수 있었다면 치료계획이 많이 달라졌을 수도 있었다는 생각에 매우 안타까웠습니다.


살릴수 있는 치아가 없었기에, 우선 남아있는 모든 치아를 발치하고 식사하실수 있도록 임시틀니를 제작해드렸습니다. 위 사진의 맨 오른쪽 과정은 임시틀니 제작과정중, 위아래턱의 위치를 잡고 높낮이를 결정하는 과정입니다.


임시틀니가 완성되었고, 장착 해드린 상태입니다. 틀니를 생전 처음 사용하시는 것이기 때문에, 적응에는 상당한 시간이 필요할 것으로 생각되었지만 의외로 아주 빠르게 잘 적응하셨습니다. 새로산 신발을 신으면 뒷꿈치가 까지고 아픈 경우가 있듯, 처음에 틀니를 사용하게되면 신발보다 더 단단한 레진으로 제작된 틀니가 뒷꿈치보다 더 약한 잇몸과 마찰되어서 아픈것은 당연한 일입니다. 이 기간동안 조금 불편하더라도 빠르게 적응하려고 노력하는 것이 필요합니다.


임시틀니를 3개월 이상 사용하고, 발치한 부분이 모두 치유된 후, 최종 틀니를 제작하기위해서 다시 본 뜨는 과정을 진행했습니다. 최종 틀니 제작을 위해서는 두번의 본뜨는 작업이 필요한데요, 위 사진에서 분홍색은 알지네이트라는 재료로 1차 본뜨기 작업을 한 것이고, 가운데 하늘색은 PVS라는 재료로 정밀하게 본뜨는 작업을 진행한 결과물입니다. 잇몸의 형태를 그대로 정밀하게 재현해서 틀니가 제작되어야 틀니가 입안에서 제대로 기능하고 불편감을 최소화할수 있기 때문에 최종틀니 제작시에는 반드시 2번의 본뜨는 과정을 거칩니다.


다음은 임시틀니 제작때와 마찬가지로 위아래 턱의 위치와 높낮이를 결정하는 과정을 거치고,


인공치아를 배열하고 이것을 먼저 환자분의 구강내에서 확인하는 과정을 거칩니다. 이 단계에서 위아래 치아가 제대로 물리는 위치에 배열이 제대로 되었는지, 높낮이는 적절한지, 안모에서 조화를 잘 이루는지 등등 여러가지를 평가하게 됩니다.


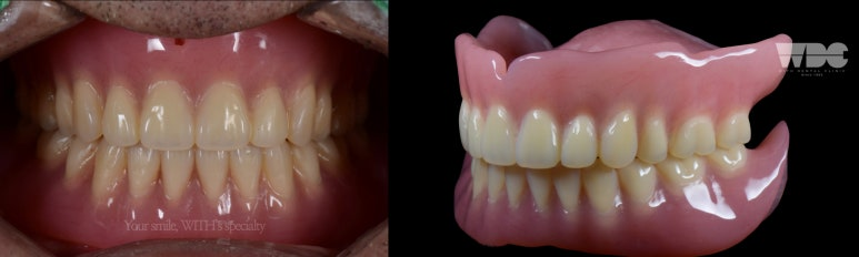
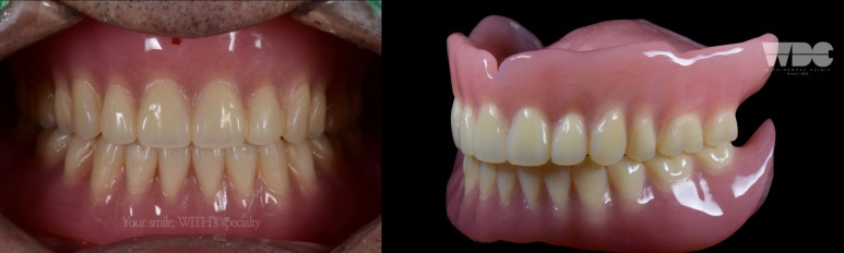
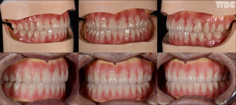
그리고 틀니가 완성되었습니다. 하지만 완성된 틀니를 입안에 그대로 껴드리는 것은 아닙니다. 제작과정에서 레진재료가 약간의 수축을 보이기 때문에, 아무리 정밀하게 본뜨는 과정을 거쳐서 만든다고해도 입안에서 상당량 조정과정이 필요합니다. 잇몸과 만나는 부분들의 조정과 함께 위아래 치아가 잘 물리도록 조정하는 과정이 필요한데,


교합기에 틀니를 다시 고정해서 입 밖에서 조정을 거친후에 껴드리는 과정을 거치고 있습니다. 저희치과는 교과서적인 방법대로, 원칙을 고수하는 진료를 시행합니다. 치과기공사나 치과위생사의 위임진료 없이, 하나 하나의 과정 모두를 치과보철과 전문의가 직접 시행합니다.


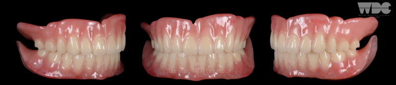
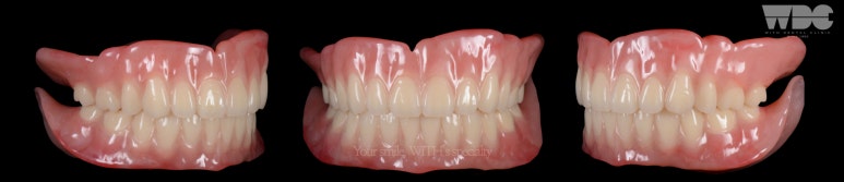
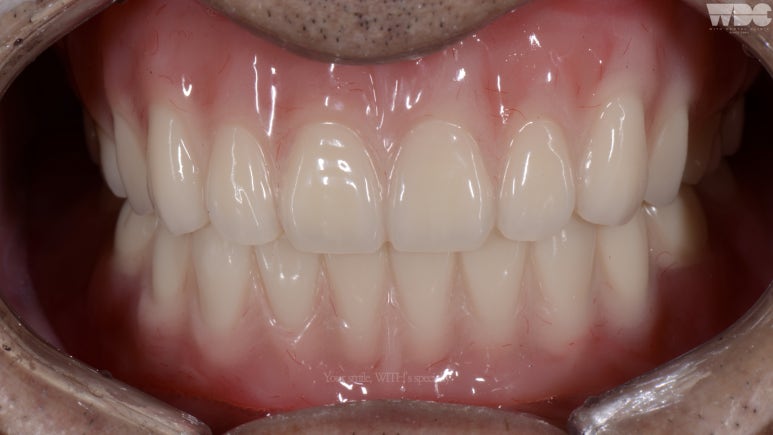
최종틀니가 입안에 장착되어 치료가 끝난 상태의 모습입니다.


치료 전 안모


치료 후 안모
이가 없는 상태의 잇몸은 시간이 지나면서 조금씩 위축되기 때문에, 처음에 만든상태의 틀니가 계속해서 잘 맞는 것은 아닙니다. 그래서 틀니를 장착한 이후에도 주기적으로 치과에 내원해서 조정을 받아야 편하게 기능하는 틀니를 사용하실 수 있습니다.
"Your smile, WITH's specialty"
위드치과보철과의 모든 포스팅은 대표원장이 직접 작성합니다.
위드치과보철과 블로그의 모든 게시물은 환자분께 정확하고 상세한 정보를 제공하기 위해 대표원장이 직접 작성하며 게시된 모든 증례사진은 직접 시행하고 촬영한 것으로 환자분의 동의를 얻어 포스팅에 사용하였습니다.