앞니 임플란트 심미보철 증례소개
안녕하세요,
기본에 충실한 원칙적이고 바른진료,
위드치과보철과입니다.
앞니뿌리가 부러져서 염증이 생겨 잇몸이 전체적으로 붓고 아파서 내원하신 환자분이십니다.
앞니 심미 임플란트는 위드치과보철과의 전문영역입니다.


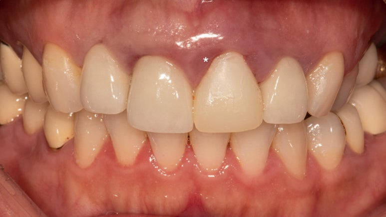
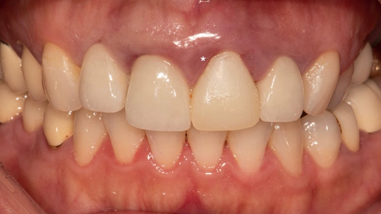
처음 내원하셨을 때의 상태인데요, 사진에서 *로 표시된 부분을 보시면 잇몸이 전체적으로 부어서 탱탱한것 처럼 보이고 색깔도 붉은색을 띠고있습니다. 환자분께서는 양치질을 할때마다 피가나고, 욱씬거리는 통증이 있다고 하셨습니다. 방사선사진으로 확인했을때, 뿌리가 쪼개져 더이상 살릴수 없는 상태였고, 발치가 필요했습니다.
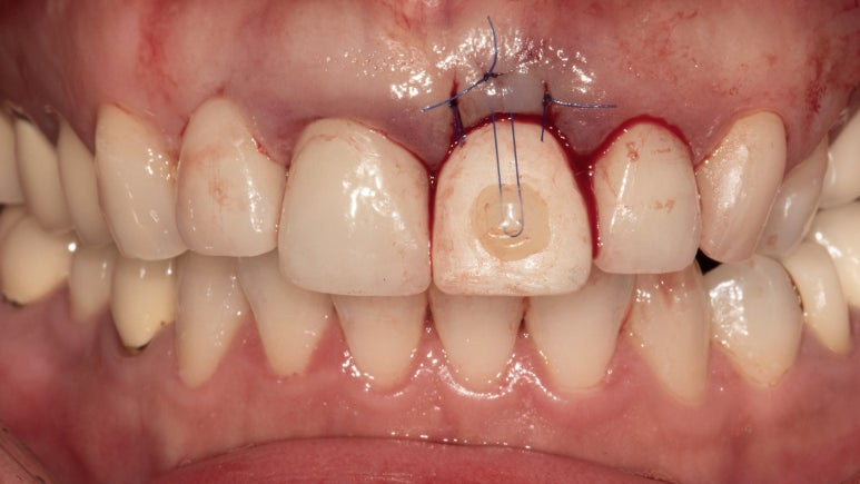
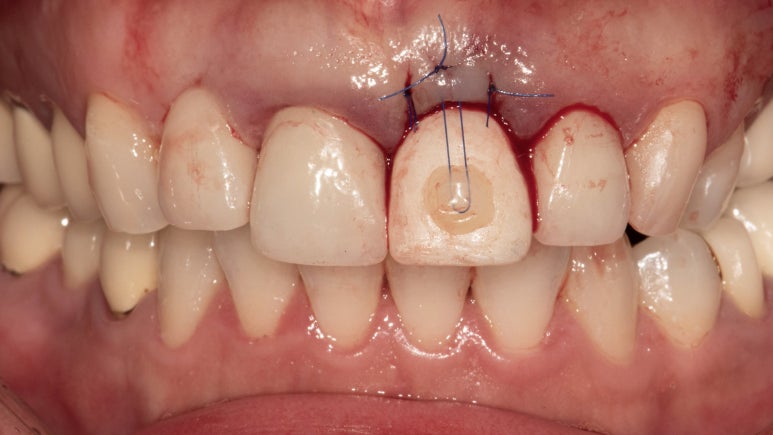
발치후 임플란트 즉시식립이 계획되어 있는 경우에는 특히나 세심한 발치가 필요한데요, 임플란트를 심어야 하기때문에 치아를 둘러싸고있는 치조골에 외상없이 조심스럽게 발치하는 것이 아주 중요합니다.


발치 당일에 임플란트를 식립하고, 임시치아까지 장착한 상태입니다.
모든 환자에서 발치즉시임플란트가 가능한 것도 아니고, 또 발치와 동시에 임플란트를 심는다고 해도 또 모든 환자에서 바로 임시치아까지 임플란트에 연결할 수 있는 것은 아니지만, 운이 좋게도 이 환자분은 발치 당일에 임플란트 식립과 임플란트 임시보철 두가지를 모두 시행할 수 있었습니다.
고난이도수술에 대한 다양한 경험이 있는 보철과전문의로서, 이런 진료는 매우 도전적이고 많은 집중을 요하지만, 이렇게 발치하는 날 임시보철물까지 들어간 모습을 보고 환자분께서 기뻐하시는 모습을 보면 저도 매우 보람을 느낍니다.
발치즉시 임플란트는 단순히 치료기간을 줄이는 것외에도 몇가지 장점이 있는데요, 기회가 된다면 정리해서 소개해드리도록 하겠습니다.


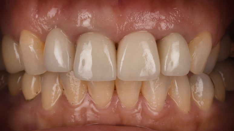
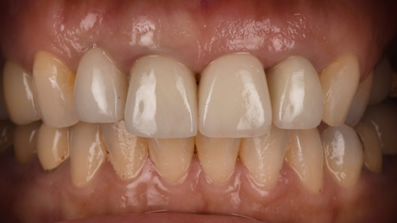
임시보철물 상태로 3개월 정도 사용한 후, 최종 보철물 장착이 끝난 상태입니다. 어떤가요 꽤 자연스럽지 않으신가요? 치료기간도 단축하고, 치료가 진행되는 동안 앞니가 없어서 가리거나 할 필요도 없는 앞니 심미임플란트 증례였습니다.